Radiology App
This section is focused on the Radiology App, which is composed of two types of annotations models:
Non-interactive (Segmentation)
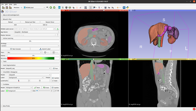
In the following image, you can see how the MONAI Label module for looks like in 3D Slicer.

Let’s set up the environment and use one of the available models!