NVIDIA Holoscan SDK v2.3.0

Bring Your Own Model (BYOM)

The Holoscan platform is optimized for performing AI inferencing workflows. This section shows how the user can easily modify the bring_your_own_model example to create their own AI applications.

In this example we’ll cover:

  • the usage of FormatConverterOp, InferenceOp, SegmentationPostprocessorOp operators to add AI inference into the workflow

  • how to modify the existing code in this example to create an ultrasound segmentation application to visualize the results from a spinal scoliosis segmentation model

Note

The example source code and run instructions can be found in the examples directory on GitHub, or under /opt/nvidia/holoscan/examples in the NGC container and the debian package, alongside their executables.

Here is the diagram of the operators and workflow used in the byom.py example.

byom_workflow.png

Fig. 10 The BYOM inference workflow

The example code already contains the plumbing required to create the pipeline above where the video is loaded by VideoStreamReplayer and passed to two branches. The first branch goes directly to Holoviz to display the original video. The second branch in this workflow goes through AI inferencing and can be used to generate overlays such as bounding boxes, segmentation masks, or text to add additional information.

This second branch has three operators we haven’t yet encountered.

  • Format Converter: The input video stream goes through a preprocessing stage to convert the tensors to the appropriate shape/format before being fed into the AI model. It is used here to convert the datatype of the image from uint8 to float32 and resized to match the model’s expectations.

  • Inference: This operator performs AI inferencing on the input video stream with the provided model. It supports inferencing of multiple input video streams and models.

  • Segmentation Postprocessor: this postprocessing stage takes the output of inference, either with the final softmax layer (multiclass) or sigmoid (2-class), and emits a tensor with uint8 values that contain the highest probability class index. The output of the segmentation postprocessor is then fed into the Holoviz visualizer to create the overlay.

To follow along this example, you can download the ultrasound dataset with the following commands:

Copy
Copied!
            

$ wget --content-disposition \ https://api.ngc.nvidia.com/v2/resources/nvidia/clara-holoscan/holoscan_ultrasound_sample_data/versions/20220608/zip \ -O holoscan_ultrasound_sample_data_20220608.zip $ unzip holoscan_ultrasound_sample_data_20220608.zip -d <SDK_ROOT>/data/ultrasound_segmentation

You can also follow along using your own dataset by adjusting the operator parameters based on your input video and model, and converting your video and model to a format that is understood by Holoscan.

Input video

The video stream replayer supports reading video files that are encoded as gxf entities. These files are provided with the ultrasound dataset as the ultrasound_256x256.gxf_entities and ultrasound_256x256.gxf_index files.

Note

To use your own video data, you can use the convert_video_to_gxf_entities.py script (installed in /opt/nvidia/holoscan/bin or on GitHub) to encode your video. Note that - using this script - the metadata in the generated GXF tensor files will indicate that the data should be copied to the GPU on read.

Input model

Currently, the inference operators in Holoscan are able to load ONNX models, or TensorRT engine files built for the GPU architecture on which you will be running the model. TensorRT engines are automatically generated from ONNX by the operators when the applications run.

If you are converting your model from PyTorch to ONNX, chances are your input is NCHW and will need to be converted to NHWC. We provide an example transformation script named graph_surgeon.py, installed in /opt/nvidia/holoscan/bin or available on GitHub. You may need to modify the dimensions as needed before modifying your model.

Tip

To get a better understanding of your model, and if this step is necessary, websites such as netron.app can be used.

Before modifying the application, let’s look at the existing code to get a better understanding of how it works.

Copy
Copied!
            

import os from argparse import ArgumentParser from holoscan.core import Application from holoscan.operators import ( FormatConverterOp, HolovizOp, InferenceOp, SegmentationPostprocessorOp, VideoStreamReplayerOp, ) from holoscan.resources import UnboundedAllocator class BYOMApp(Application): def __init__(self, data): """Initialize the application Parameters ---------- data : Location to the data """ super().__init__() # set name self.name = "BYOM App" if data == "none": data = os.environ.get("HOLOSCAN_INPUT_PATH", "../data") self.sample_data_path = data self.model_path = os.path.join(os.path.dirname(__file__), "../model") self.model_path_map = { "byom_model": os.path.join(self.model_path, "identity_model.onnx"), } self.video_dir = os.path.join(self.sample_data_path, "racerx") if not os.path.exists(self.video_dir): raise ValueError(f"Could not find video data:{self.video_dir=}")

  • The built-in FormatConvertOp, InferenceOp, and SegmentationPostprocessorOp operators are imported on lines 7, 9, and 10. These 3 operators make up the preprocessing, inference, and postprocessing stages of our AI pipeline respectively.

  • The UnboundedAllocator resource is imported on line 13. This is used by our application’s operators for memory allocation.

  • The paths to the identity model are defined on lines 35-38. This model passes it’s input tensor to it’s output, and acts as a placeholder for this example.

  • The directory of the video files are defined on line 40.

Next, we look at the operators and their parameters defined in the application yaml file.

Copy
Copied!
            

def compose(self): host_allocator = UnboundedAllocator(self, name="host_allocator") source = VideoStreamReplayerOp( self, name="replayer", directory=self.video_dir, **self.kwargs("replayer") ) preprocessor = FormatConverterOp( self, name="preprocessor", pool=host_allocator, **self.kwargs("preprocessor") ) inference = InferenceOp( self, name="inference", allocator=host_allocator, model_path_map=self.model_path_map, **self.kwargs("inference"), ) postprocessor = SegmentationPostprocessorOp( self, name="postprocessor", allocator=host_allocator, **self.kwargs("postprocessor") ) viz = HolovizOp(self, name="viz", **self.kwargs("viz"))

  • An instance of the UnboundedAllocator resource class is created (line 2) and used by subsequent operators for memory allocation. This allocator allocates memory dynamically on the host as needed. For applications where latency becomes an issue, there is the BlockMemoryPool allocator.

  • The preprocessor operator (line 8) takes care of converting the input video from the source video to a format that can be used by the AI model.

  • The inference operator (line 12) feeds the output from the preprocessor to the AI model to perform inference.

  • The postprocessor operator (line 20) postprocesses the output from the inference operator before passing it downstream to the visualizer. Here, the segmentation postprocessor checks the probabilities output from the model to determine which class is most likely and emits this class index. This is then used by the Holoviz operator to create a segmentation mask overlay.

Copy
Copied!
            

%YAML 1.2 replayer: # VideoStreamReplayer basename: "racerx" frame_rate: 0 # as specified in timestamps repeat: true # default: false realtime: true # default: true count: 0 # default: 0 (no frame count restriction) preprocessor: # FormatConverter out_tensor_name: source_video out_dtype: "float32" resize_width: 512 resize_height: 512 inference: # Inference backend: "trt" pre_processor_map: "byom_model": ["source_video"] inference_map: "byom_model": ["output"] postprocessor: # SegmentationPostprocessor in_tensor_name: output # network_output_type: None data_format: nchw viz: # Holoviz width: 854 height: 480 color_lut: [ [0.65, 0.81, 0.89, 0.1], ]

  • The preprocessor converts the tensors to float32 values (line 11) and ensures that the image is resized to 512x512 (line 12-13).

  • The pre_processor_map parameter (lines 17-18) maps the model name(s) to input tensor name(s). Here, “source_video” matches the output tensor name of the preprocessor (line 10). The inference_map parameter maps the model name(s) to the output tensor name(s). Here, “output”, matches the input tensor name of the postprocessor (line 23). For more details on InferenceOp parameters, see Customizing the Inference Operator or refer to Inference.

  • The network_output_type parameter is commented out on line 24 to remind ourselves that this second branch is currently not generating anything interesting. If not specified, this parameter defaults to “softmax” for SegmentationPostprocessorOp.

  • The color lookup table defined on lines 30-32 is used here to create a segmentation mask overlay. The values of each entry in the table are RGBA values between 0.0 and 1.0. For the alpha value, 0.0 is fully transparent and 1.0 is fully opaque.

Finally, we define the application and workflow.

Copy
Copied!
            

# Define the workflow self.add_flow(source, viz, {("output", "receivers")}) self.add_flow(source, preprocessor, {("output", "source_video")}) self.add_flow(preprocessor, inference, {("tensor", "receivers")}) self.add_flow(inference, postprocessor, {("transmitter", "in_tensor")}) self.add_flow(postprocessor, viz, {("out_tensor", "receivers")}) def main(config_file, data): app = BYOMApp(data=data) # if the --config command line argument was provided, it will override this config_file app.config(config_file) app.run() if __name__ == "__main__": # Parse args parser = ArgumentParser(description="BYOM demo application.") parser.add_argument( "-d", "--data", default="none", help=("Set the data path"), ) args = parser.parse_args() config_file = os.path.join(os.path.dirname(__file__), "byom.yaml") main(config_file=config_file, data=args.data)

  • The add_flow() on line 2 defines the first branch to display the original video.

  • The add_flow() commands from line 3-6 defines the second branch to display the segmentation mask overlay.

To create the ultrasound segmentation application, we need to swap out the input video and model to use the ultrasound files, and adjust the parameters to ensure the input video is resized correctly to the model’s expectations.

We will need to modify the python and yaml files to change our application to the ultrasound segmentation application.

Copy
Copied!
            

class BYOMApp(Application): def __init__(self, data): """Initialize the application Parameters ---------- data : Location to the data """ super().__init__() # set name self.name = "BYOM App" if data == "none": data = os.environ.get("HOLOSCAN_INPUT_PATH", "../data") self.sample_data_path = data self.model_path = os.path.join(self.sample_data_path, "ultrasound_segmentation", "model") self.model_path_map = { "byom_model": os.path.join(self.model_path, "us_unet_256x256_nhwc.onnx"), } self.video_dir = os.path.join(self.sample_data_path, "ultrasound_segmentation", "video") if not os.path.exists(self.video_dir): raise ValueError(f"Could not find video data:{self.video_dir=}")

  • Update self.model_path_map to the ultrasound segmentation model (lines 20-23).

  • Update self.video_dir to point to the directory of the ultrasound video files (line 25).

Copy
Copied!
            

replayer: # VideoStreamReplayer basename: "ultrasound_256x256" frame_rate: 0 # as specified in timestamps repeat: true # default: false realtime: true # default: true count: 0 # default: 0 (no frame count restriction) preprocessor: # FormatConverter out_tensor_name: source_video out_dtype: "float32" resize_width: 256 resize_height: 256 inference: # Inference backend: "trt" pre_processor_map: "byom_model": ["source_video"] inference_map: "byom_model": ["output"] postprocessor: # SegmentationPostprocessor in_tensor_name: output network_output_type: softmax data_format: nchw viz: # Holoviz width: 854 height: 480 color_lut: [ [0.65, 0.81, 0.89, 0.1], [0.2, 0.63, 0.17, 0.7] ]

  • Update basename to the basename of the ultrasound video files (line 2).

  • The AI model expects the width and height of the images to be 256x256, update the preprocessor’s parameters to resize the input to 256x256 (line 11-12).

  • The AI model’s final output layer is a softmax, so we indicate this to the postprocessor (line 23).

  • Since this model predicts between two classes, we need another entry in Holoviz’s color lookup table (line 31). Note that the alpha value of the first color entry is 0.1 (line 30) so the mask for the background class may not be visible. The second entry we just added is a green color and has an alpha value of 0.7 so it will be easily visible.

The above changes are enough to update the byom example to the ultrasound segmentation application.

In general, when deploying your own AI models, you will need to consider the operators in the second branch. This example uses a pretty typical AI workflow:

  • Input: This could be a video on disk, an input stream from a capture device, or other data stream.

  • Preprocessing: You may need to preprocess the input stream to convert tensors into the shape and format that is expected by your AI model (e.g., converting datatype and resizing).

  • Inference: Your model will need to be in onnx or trt format.

  • Postprocessing: An operator that postprocesses the output of the model to a format that can be readily used by downstream operators.

  • Output: The postprocessed stream can be displayed or used by other downstream operators.

The Holoscan SDK comes with a number of built-in operators that you can use to configure your own workflow. If needed, you can write your own custom operators or visit Holohub for additional implementations and ideas for operators.

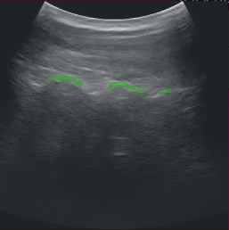
After modifying the application as instructed above, running the application should bring up the ultrasound video with a segmentation mask overlay similar to the image below.

app_ultrasound.png

Fig. 11 Ultrasound Segmentation

Note

If you run the byom.py application without modification and are using the debian installation, you may run into the following error message:

Copy
Copied!
            

[error] Error in Inference Manager ... TRT Inference: failed to build TRT engine file.

In this case, modifying the write permissions for the model directory should help (use with caution):

Copy
Copied!
            

sudo chmod a+w /opt/nvidia/holoscan/examples/bring_your_own_model/model

The builtin InferenceOp operator provides the functionality of the Inference. This operator has a receivers port that can connect to any number of upstream ports to allow for multiai inferencing, and one transmitter port to send results downstream. Below is a description of some of the operator’s parameters and a general guidance on how to use them.

  • backend: if the input models are in tensorrt engine file format, select trt as the backend. If the input models are in onnx format select either trt or onnx as the backend.

  • allocator: Can be passed to this operator to specify how the output tensors are allocated.

  • model_path_map: contains dictionary keys with unique strings that refer to each model. The values are set to the path to the model files on disk. All models must be either in onnx or in tensorrt engine file format. The Holoscan Inference Module will do the onnx to tensorrt model conversion if the TensorRT engine files do not exist.

  • pre_processor_map: this dictionary should contain the same keys as model_path_map, mapping to the output tensor name for each model.

  • inference_map: this dictionary should contain the same keys as model_path_map, mapping to the output tensor name for each model.

  • enable_fp16: Boolean variable indicating if half-precision should be used to speed up inferencing. The default value is False, and uses single-precision (32-bit fp) values.

  • input_on_cuda: indicates whether input tensors are on device or host

  • output_on_cuda: indicates whether output tensors are on device or host

  • transmit_on_cuda: if True, it means the data transmission from the inference will be on Device, otherwise it means the data transmission from the inference will be on Host

Color Channel Order

It is important to know what channel order your model expects. This may be indicated by the training data, pre-training transformations performed at training, or the expected inference format used in your application.

For example, if your inference data is RGB, but your model expects BGR, you will need to add the following to your segmentation_preprocessor in the yaml file: out_channel_order: [2,1,0].

Normalizing Your Data

Similarly, default scaling for streaming data is [0,1], but dependent on how your model was trained, you may be expecting [0,255].

For the above case you would add the following to your segmentation_preprocessor in the yaml file:

scale_min: 0.0 scale_max: 255.0

Network Output Type

Models often have different output types such as Sigmoid, Softmax, or perhaps something else, and you may need to examine the last few layers of your model to determine which applies to your case.

As in the case of our ultrasound segmentation example above, we added the following in our yaml file: network_output_type: softmax

Previous Video Replayer (Distributed)
Next Creating an Application
© Copyright 2022-2024, NVIDIA. Last updated on Sep 6, 2024.