Bring Your Own Model (BYOM)
The Holoscan platform is optimized for performing AI inferencing workflows. This section shows how the user can easily modify the bring_your_own_model
example to
create their own AI applications.
In this example we’ll cover:
The usage of
FormatConverterOp
,InferenceOp
,SegmentationPostprocessorOp
operators to add AI inference into the workflow.How to modify the existing code in this example to create an ultrasound segmentation application to visualize the results from a spinal scoliosis segmentation model.
The example source code and run instructions can be found in the examples directory on GitHub, or under /opt/nvidia/holoscan/examples
in the NGC container and the Debian package, alongside their executables.
Here is the diagram of the operators and workflow used in the byom.py example.

Fig. 10 The BYOM inference workflow
The example code already contains the plumbing required to create the pipeline above where the video is loaded by VideoStreamReplayer
and passed to two branches.
The first branch goes directly to Holoviz
to display the original video.
The second branch in this workflow goes through AI inferencing and can be used to generate
overlays such as bounding boxes, segmentation masks, or text to add additional information.
This second branch has three operators we haven’t yet encountered.
Format Converter: The input video stream goes through a preprocessing stage to convert the tensors to the appropriate shape/format before being fed into the AI model. It is used here to convert the datatype of the image from
uint8
tofloat32
and resized to match the model’s expectations.Inference: This operator performs AI inferencing on the input video stream with the provided model. It supports inferencing of multiple input video streams and models.
Segmentation Postprocessor: This postprocessing stage takes the output of inference, either with the final softmax layer (multiclass) or sigmoid (2-class), and emits a tensor with
uint8
values that contain the highest probability class index. The output of the segmentation postprocessor is then fed into the Holoviz visualizer to create the overlay.
To follow along this example, you can download the ultrasound dataset with the following commands:
./scripts/download_ngc_data --url nvidia/clara-holoscan/holoscan_ultrasound_sample_data:20220608
You can also follow along using your own dataset by adjusting the operator parameters based on your input video and model, and converting your video and model to a format that is understood by Holoscan.
Input Video
The video stream replayer supports reading video files that are encoded as GXF entities. These files are provided with the ultrasound dataset as the ultrasound_256x256.gxf_entities
and ultrasound_256x256.gxf_index
files.
To use your own video data, you can use the convert_video_to_gxf_entities.py
script (installed in /opt/nvidia/holoscan/bin
or on GitHub) to encode your video. Note that - using this script - the metadata in the generated GXF tensor files will indicate that the data should be copied to the GPU on read.
Input model
Currently, the inference operators in Holoscan are able to load ONNX models, or TensorRT engine files built for the GPU architecture on which you will be running the model. TensorRT engines are automatically generated from ONNX by the operators when the applications run.
If you are converting your model from PyTorch to ONNX, chances are your input is NCHW and will need to be converted to NHWC. We provide an example transformation script named graph_surgeon.py
, installed in /opt/nvidia/holoscan/bin
or available on GitHub. You may need to modify the dimensions as needed before modifying your model.
To get a better understanding of your model, and if this step is necessary, websites such as netron.app can be used.
Before modifying the application, let’s look at the existing code to get a better understanding of how it works.
import os
from argparse import ArgumentParser
from holoscan.core import Application
from holoscan.operators import (
FormatConverterOp,
HolovizOp,
InferenceOp,
SegmentationPostprocessorOp,
VideoStreamReplayerOp,
)
from holoscan.resources import UnboundedAllocator
class BYOMApp(Application):
def __init__(self, data):
"""Initialize the application
Parameters
----------
data : Location to the data
"""
super().__init__()
# set name
self.name = "BYOM App"
if data == "none":
data = os.environ.get("HOLOSCAN_INPUT_PATH", "../data")
self.sample_data_path = data
self.model_path = os.path.join(os.path.dirname(__file__), "../model")
self.model_path_map = {
"byom_model": os.path.join(self.model_path, "identity_model.onnx"),
}
self.video_dir = os.path.join(self.sample_data_path, "racerx")
if not os.path.exists(self.video_dir):
raise ValueError(f"Could not find video data:{self.video_dir=}")
The built-in
FormatConvertOp
,InferenceOp
, andSegmentationPostprocessorOp
operators are imported on lines7
,9
, and10
. These 3 operators make up the preprocessing, inference, and postprocessing stages of our AI pipeline respectively.The
UnboundedAllocator
resource is imported on line13
. This is used by our application’s operators for memory allocation.The paths to the
identity
model are defined on lines35-38
. This model passes its input tensor to its output, and acts as a placeholder for this example.The directory of the video files are defined on line
40
.
Next, we look at the operators and their parameters defined in the application YAML file.
def compose(self):
host_allocator = UnboundedAllocator(self, name="host_allocator")
source = VideoStreamReplayerOp(
self, name="replayer", directory=self.video_dir, **self.kwargs("replayer")
)
preprocessor = FormatConverterOp(
self, name="preprocessor", pool=host_allocator, **self.kwargs("preprocessor")
)
inference = InferenceOp(
self,
name="inference",
allocator=host_allocator,
model_path_map=self.model_path_map,
**self.kwargs("inference"),
)
postprocessor = SegmentationPostprocessorOp(
self, name="postprocessor", allocator=host_allocator, **self.kwargs("postprocessor")
)
viz = HolovizOp(self, name="viz", **self.kwargs("viz"))
An instance of the
UnboundedAllocator
resource class is created (line2
) and used by subsequent operators for memory allocation. This allocator allocates memory dynamically on the host as needed. For applications where latency becomes an issue, an allocator supporting a memory pool such asBlockMemoryPool
orRMMAllocator
could be used instead.The preprocessor operator (line
8
) takes care of converting the input video from the source video to a format that can be used by the AI model.The inference operator (line
12
) feeds the output from the preprocessor to the AI model to perform inference.The postprocessor operator (line
20
) postprocesses the output from the inference operator before passing it downstream to the visualizer. Here, the segmentation postprocessor checks the probabilities output from the model to determine which class is most likely and emits this class index. This is then used by theHoloviz
operator to create a segmentation mask overlay.
%YAML 1.2
replayer: # VideoStreamReplayer
basename: "racerx"
frame_rate: 0 # as specified in timestamps
repeat: true # default: false
realtime: true # default: true
count: 0 # default: 0 (no frame count restriction)
preprocessor: # FormatConverter
out_tensor_name: source_video
out_dtype: "float32"
resize_width: 512
resize_height: 512
inference: # Inference
backend: "trt"
pre_processor_map:
"byom_model": ["source_video"]
inference_map:
"byom_model": ["output"]
postprocessor: # SegmentationPostprocessor
in_tensor_name: output
# network_output_type: None
data_format: nchw
viz: # Holoviz
width: 854
height: 480
color_lut: [
[0.65, 0.81, 0.89, 0.1],
]
The preprocessor converts the tensors to
float32
values (line11
) and ensures that the image is resized to 512x512 (line12-13
).The
pre_processor_map
parameter (lines17-18
) maps the model name(s) to input tensor name(s). Here, “source_video” matches the output tensor name of the preprocessor (line10
). Theinference_map
parameter maps the model name(s) to the output tensor name(s). Here, “output” matches the input tensor name of the postprocessor (line23
). For more details onInferenceOp
parameters, see Customizing the Inference Operator or refer to Inference.The
network_output_type
parameter is commented out on line24
to remind ourselves that this second branch is currently not generating anything interesting. If not specified, this parameter defaults to “softmax” forSegmentationPostprocessorOp
.The color lookup table defined on lines
30-32
is used here to create a segmentation mask overlay. The values of each entry in the table are RGBA values between 0.0 and 1.0. For the alpha value, 0.0 is fully transparent and 1.0 is fully opaque.
Finally, we define the application and workflow.
# Define the workflow
self.add_flow(source, viz, {("output", "receivers")})
self.add_flow(source, preprocessor, {("output", "source_video")})
self.add_flow(preprocessor, inference, {("tensor", "receivers")})
self.add_flow(inference, postprocessor, {("transmitter", "in_tensor")})
self.add_flow(postprocessor, viz, {("out_tensor", "receivers")})
def main(config_file, data):
app = BYOMApp(data=data)
# if the --config command line argument was provided, it will override this config_file
app.config(config_file)
app.run()
if __name__ == "__main__":
# Parse args
parser = ArgumentParser(description="BYOM demo application.")
parser.add_argument(
"-d",
"--data",
default="none",
help=("Set the data path"),
)
args = parser.parse_args()
config_file = os.path.join(os.path.dirname(__file__), "byom.yaml")
main(config_file=config_file, data=args.data)
The
add_flow()
on line2
defines the first branch to display the original video.The
add_flow()
commands from line3-6
defines the second branch to display the segmentation mask overlay.
To create the ultrasound segmentation application, we need to swap out the input video and model to use the ultrasound files, and adjust the parameters to ensure the input video is resized correctly to the model’s expectations.
We will need to modify the Python and YAML files to change our application to the ultrasound segmentation application.
class BYOMApp(Application):
def __init__(self, data):
"""Initialize the application
Parameters
----------
data : Location to the data
"""
super().__init__()
# set name
self.name = "BYOM App"
if data == "none":
data = os.environ.get("HOLOSCAN_INPUT_PATH", "../data")
self.sample_data_path = data
self.model_path = os.path.join(self.sample_data_path, "ultrasound_segmentation", "model")
self.model_path_map = {
"byom_model": os.path.join(self.model_path, "us_unet_256x256_nhwc.onnx"),
}
self.video_dir = os.path.join(self.sample_data_path, "ultrasound_segmentation", "video")
if not os.path.exists(self.video_dir):
raise ValueError(f"Could not find video data:{self.video_dir=}")
Update
self.model_path_map
to the ultrasound segmentation model (lines20-23
).Update
self.video_dir
to point to the directory of the ultrasound video files (line25
).
replayer: # VideoStreamReplayer
basename: "ultrasound_256x256"
frame_rate: 0 # as specified in timestamps
repeat: true # default: false
realtime: true # default: true
count: 0 # default: 0 (no frame count restriction)
preprocessor: # FormatConverter
out_tensor_name: source_video
out_dtype: "float32"
resize_width: 256
resize_height: 256
inference: # Inference
backend: "trt"
pre_processor_map:
"byom_model": ["source_video"]
inference_map:
"byom_model": ["output"]
postprocessor: # SegmentationPostprocessor
in_tensor_name: output
network_output_type: softmax
data_format: nchw
viz: # Holoviz
width: 854
height: 480
color_lut: [
[0.65, 0.81, 0.89, 0.1],
[0.2, 0.63, 0.17, 0.7]
]
Update
basename
to the basename of the ultrasound video files (line2
).The AI model expects the width and height of the images to be 256x256, update the preprocessor’s parameters to resize the input to 256x256 (line
11-12
).The AI model’s final output layer is a softmax, so we indicate this to the postprocessor (line
23
).Since this model predicts between two classes, we need another entry in Holoviz’s color lookup table (line
31
). Note that the alpha value of the first color entry is0.1
(line30
) so the mask for the background class may not be visible. The second entry we just added is a green color and has an alpha value of0.7
so it will be easily visible.
The above changes are enough to update the BYOM example to the ultrasound segmentation application.
In general, when deploying your own AI models, you will need to consider the operators in the second branch. This example uses a pretty typical AI workflow:
Input: This could be a video on disk, an input stream from a capture device, or other data stream.
Preprocessing: You may need to preprocess the input stream to convert tensors into the shape and format that is expected by your AI model (e.g., converting datatype and resizing).
Inference: Your model will need to be in ONNX or TensorRT format.
Postprocessing: An operator that postprocesses the output of the model to a format that can be readily used by downstream operators.
Output: The postprocessed stream can be displayed or used by other downstream operators.
The Holoscan SDK comes with a number of built-in operators that you can use to configure your own workflow. If needed, you can write your own custom operators or visit Holohub for additional implementations and ideas for operators.
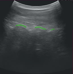
After modifying the application as instructed above, running the application should bring up the ultrasound video with a segmentation mask overlay similar to the image below.

Fig. 11 Ultrasound Segmentation
If you run the byom.py application without modification and are using the debian installation, you may run into the following error message:
[error] Error in Inference Manager ... TRT Inference: failed to build TRT engine file.
In this case, modifying the write permissions for the model directory should help (use with caution):
sudo chmod a+w /opt/nvidia/holoscan/examples/bring_your_own_model/model
The built-in InferenceOp
operator provides the functionality of the Inference.
This operator has a receivers
port that can connect to any number of upstream ports to allow for multiai inferencing, and one transmitter
port to send results downstream.
Below is a description of some of the operator’s parameters and a general guidance on how to use them.
backend
: If the input models are intensorrt engine file
format, selecttrt
as the backend. If the input models are inonnx
format select eithertrt
oronnx
as the backend.allocator
: Can be passed to this operator to specify how the output tensors are allocated.model_path_map
: Contains dictionary keys with unique strings that refer to each model. The values are set to the path to the model files on disk. All models must be either inonnx
or intensorrt engine file
format. The Holoscan Inference Module will do theonnx
totensorrt
model conversion if the TensorRT engine files do not exist.pre_processor_map
: This dictionary should contain the same keys asmodel_path_map
, mapping to the output tensor name for each model.inference_map
: This dictionary should contain the same keys asmodel_path_map
, mapping to the output tensor name for each model.enable_fp16
: Boolean variable indicating if half-precision should be used to speed up inferencing. The default value is False, and uses single-precision (32-bit fp) values.input_on_cuda
: Indicates whether input tensors are on device or host.output_on_cuda
: Indicates whether output tensors are on device or host.transmit_on_cuda
: If True, it means the data transmission from the inference will be on Device, otherwise it means the data transmission from the inference will be on Host.
Color Channel Order
It is important to know what channel order your model expects. This may be indicated by the training data, pre-training transformations performed at training, or the expected inference format used in your application.
For example, if your inference data is RGB, but your model expects BGR, you will need to add the following to your segmentation_preprocessor in the yaml file: out_channel_order: [2,1,0]
.
Normalizing Your Data
Similarly, default scaling for streaming data is [0,1]
, but dependent on how your model was trained, you may be expecting [0,255]
.
For the above case, you would add the following to your segmentation_preprocessor in the YAML file:
scale_min: 0.0
scale_max: 255.0
Network Output Type
Models often have different output types such as Sigmoid
, Softmax
, or perhaps something else, and you may need to examine the last few layers of your model to determine which applies to your case.
As in the case of our ultrasound segmentation example above, we added the following in our YAML file:
network_output_type: softmax